Surgery News – nr. 2 2025
Geistlich Bio-Oss Granulat – ett pålitligt material, för ett förutsägbart resultat.
Bio-Oss Granulat från Geistlich är ett välbeprövat och förutsägbart benersättningsmaterial som jag använt i min kliniska vardag under många år. Min enda invändning har tidigare varit användarvänligheten – granulaten kunde dock upplevas som ”grusiga” och ibland svåra att hantera vid applikation
Men efter att jag börjat använda Bio-Oss Collagen (90% Bio-Oss granulat och 10% porcint kollagen), ser jag användarvänligheten för både nybörjare mer erfarna kirurger.
Bio-Oss Collagen från Geistlich kommer i ett block, istället för granulat, och pga. hög vätbarhet blir den snabbt en homogen och lättbearbetad massa. Denna ”sticky” massa lägger sig med enkelhet i utrymmet man önskar augmentera utan att granulaten sprids runt i sårområdet. Den enkla applikationen är tidsbesparande, samtidigt som materialet fortfarande har samma tillförlitlighet som traditionella Bio-Ossgranulat.
Främst använder jag Bio-Oss Collagen vid mindre benaugmentationer i samband med implantatinstallation och vid alveolar ridge preservation, där blocket efter hydrering, med koksalt eller blod, enkelt trimmas efter alveolens utformning.
Bio-Oss Collagen passar även bra vid större benuppbyggnader. En annan fördel med Bio-Oss är att bengranulaten har hydrofila egenskaper då materialet inte är sintrat och därmed bevarat mikro- och makroporerna.
Jag kan därför varmt rekommendera Bio-Oss Collagen till mina kollegor som vill arbeta med en produkt som är förtillförlitlig, vetenskapligt beprövad och har en användarvänlighet som underlättar behandlingen för såväl utövare som patient!
PATIENTFALL
52-årig, tidigare frisk, kvinna. Tand 23 extraherad 4 månader tidigare pga apikal parodontit. Inga post-ex komplikationer:

1. Marginal bendefekt vid läkning inför implantatinstallation regio 23.

2. Fixtur installeras med god primär stabilitet men med en gängblotta av de övre 3 mm.

3. Bio-Oss Collagen 50 mg fuktas med några droppar sterilt koksalt för att appliceras i området och Bio-Gide 13x25 membran förbereds med en liten öppning för läkdistans och placeras över fixturen.

4. Materialet bearbetas med enkelhet, utan att packas för tätt, för att täcka fixturens blottade gängor med viss överdimensionering för att beakta förväntad resorption.

5. Bio-Gide membranet läggs på plats för att skydda benuppbyggnaden från mjukvävnadsceller och säkerställer samtidigt god blodtillförsel från periostet.

6. När membranet uppnått optimal placering sutureras lambån tillbaka och fullgod hemostas uppnås.
Mina erfarenheter med Yxoss CBR – Custom Bone Regeneration.
Regeneration av ben kan vara kliniskt utmanande och ställer stort krav på det material som används. Under de senaste åren har jag inkorporerat det patientspecifika membranet Yxoss. Det har förenklat de operationer jag utför genom flera aspekter. Inte minst minskar operationstiden jämfört med traditionell membranteknik. Genom Yxoss planeringsverktyg kan man enkelt få önskad form på ett individuellt 3d-printat titanmembran. Yxoss-membranet fylls med partikulerat ben och fixeras med lämpliga fixationsskruvar. Eftersom formen på membranet är planerad redan innan operationen kan mjukvävnaden anpassas för passivitet redan innan ben tas från ramus.
Nedan har jag sammanfattat de största fördelarna jag ser med produkten:
-
Enkel och bättre pre-op planering.
-
Protetiska samt kirurgiska aspekter kan planeras i förväg
-
Minskat trauma genom kortare op-tid
-
Enkel fixation av membranet
-
Stabilt membran med små perforationer som bidrar till minskat pseudoperiost.
Sammanfattningsvis:
Yxoss 3d-printade membran förenklar bentransplantation genom flera aspekter. Slutresultatet blir mer förutsägbart genom möjligheter till god pre-op planering och mer standardiserat utförande.
PATIENTFALL
Yngre kvinna som genom trauma förlorat tänderna 11-22. En både horisontell samt vertikal defekt i ett estetiskt utmanande område. Ett Yxoss 3d printat membran framställs genom planeringsverktyget, i detta fall IO scan samt CBCT som underlag. En pre-protetisk uppvaxning på tänkt suprakonstruktion framställs för att förutsäga kommande protetik samt tänkt benvolym. Partikulerat ben appliceras i membranet som sedan fixeras på plats. Efter 6 månaders läkning avlägsnas membranet. Regenererat ben med obefintligt pseudoperiost påvisas, implantat kan placeras med god marginal samt goda protetiska förutsättningar.

Bendefekt som följd av trauma

Planering av Yxoss membran

Yxoss membran fyllt med partikulerat autologt ben samt Geistlich Bio-Oss

Bendefekt kliniskt

Fixerat Yxoss membran

Avlägsning av ti-membran påvisar vitalt ben utan något pseudo-periost
Versah Borr – ett oumbärligt verktyg vid modern implantatbehandling.
"Versah har varit ett viktigt verktyg i min kliniska vardag under de senaste åren. Systemet skiljer sig från traditionella borr då de inte avlägsnar ben, utan istället osseodensifierar och bevarar ben, vilket ger en helt ny dimension av precision och förutsägbarhet vid implantatkirurgi."
Ett bra exempel är protokollet för direktinstallation med molarseptumexpansion i kombination med SSA-konceptet där jag upplevt tydliga fördelar:
- Bättre primär stabilitet, även i kompakt ben.
- Maximalt bevarande av autologt ben, vilket ger en bättre biologisk utgångspunkt
- Minimalinvasivt behandling, vilket i många fall gör att jag kan minska omfattande ingrepp som tidigare krävde lateral sinuslyft.
För patienten innebär detta mindre obehag vid behandlingen för patienterna, samt ett betydligt enklare postoperativt förlopp, med betydligt mindre smärta, svullnad och hematombildning.
Kliniska fördelar:
- Ökad förutsägbarhet och kontroll
- Minskat behov av invasiv behandling
- Bättre patientupplevelse och snabbare återhämtning
- Utökar behandlingsalternativen i komplexa fall
Slutsats
För mig har Versah varit banbrytande inom implantatbehandling. Systemet kombinerar teknisk precision med förbättrad patientkomfort, vilket gör det möjligt att höja behandlingskvaliteten till en ny nivå. Efter många års erfarenhet som specialist ser jag att detta är ett verktyg som ger högre klinisk kontroll, mer skonsam behandling och ökad patientnöjdhet.
"Jag rekommenderar starkt Versah till kollegor som vill vidareutveckla sin implantatbehandling på kliniken, och erbjuda sina patienter den mest moderna, förutsägbara och skonsamma behandlingen som finns tillgänglig idag."
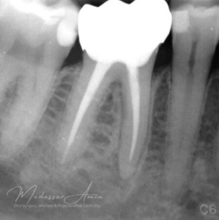
PATIENTFALL
"Pasienten presenterte med tann 46 som ikke kunne bevares grunnet en dyptgående infraksjon inn i furkasjonen. Forholdene lå til rette for en immediate implantatbehandling. Ved hjelp av Versah osseodensifikasjonsbor ble det interradikulære beinet ekspandert på en skånsom og forutsigbar måte, noe som ga høy primærstabilitet (>40 Ncm) til tross for en lokal bendefekt apikalt mesialt etter kronisk apikal periodontitt. Den gode stabiliteten muliggjorde bruk av SSA (Sealing Socket Abutment) for forsegling. På grunn av tynn bløtvevsfenotype bukkalt ble behandlingen supplert med bindevevstransplantat (CTG)"

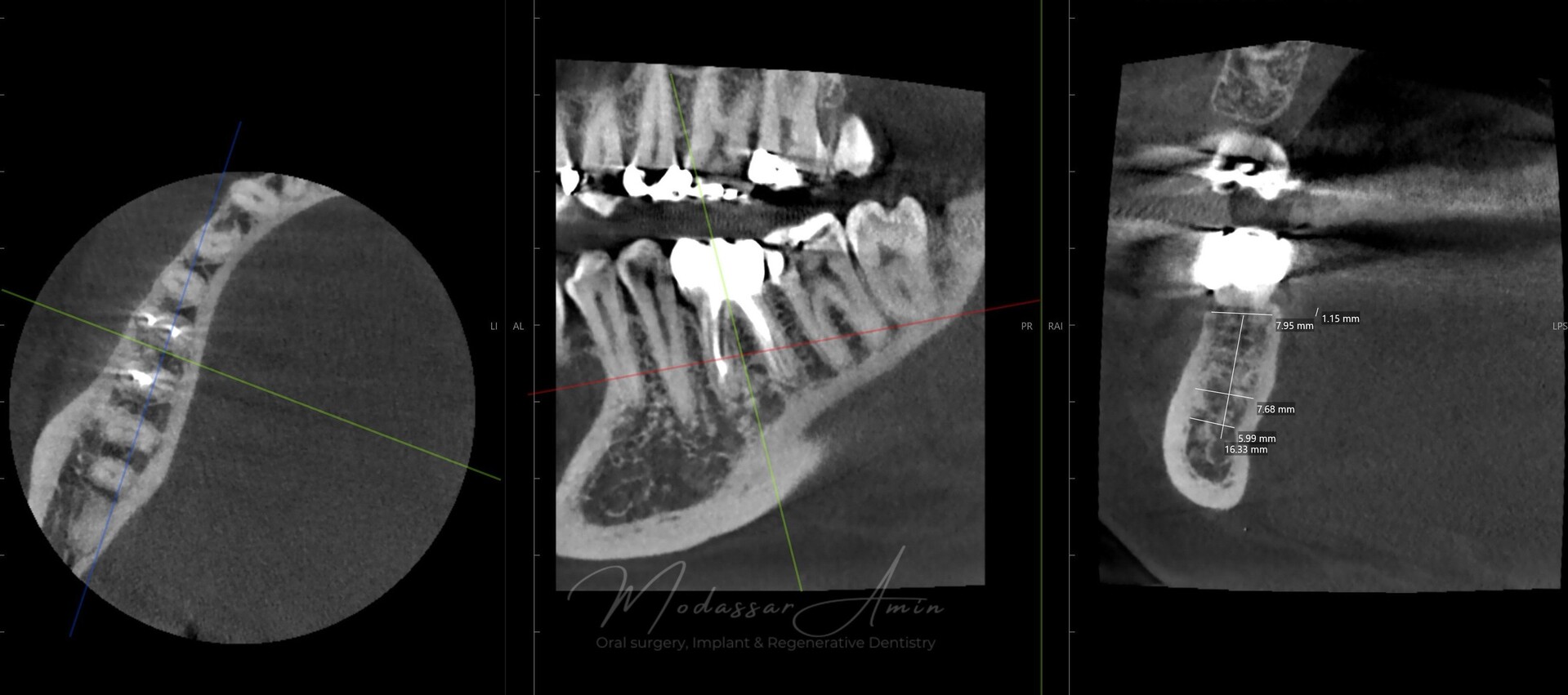
Initial

Kontrollröntgen för verifikation

Kontrollröntgen implantat

Kontrollröntgen SSA

CBCT röntgen

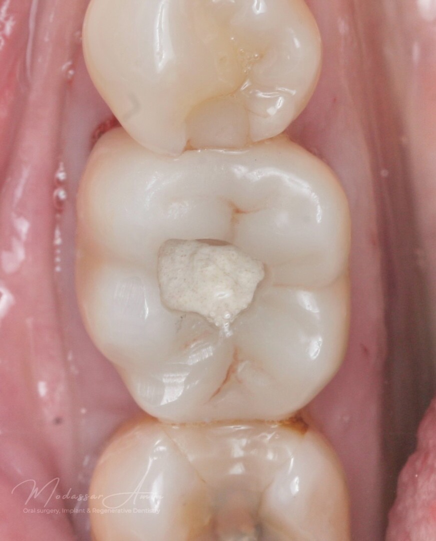
Initial

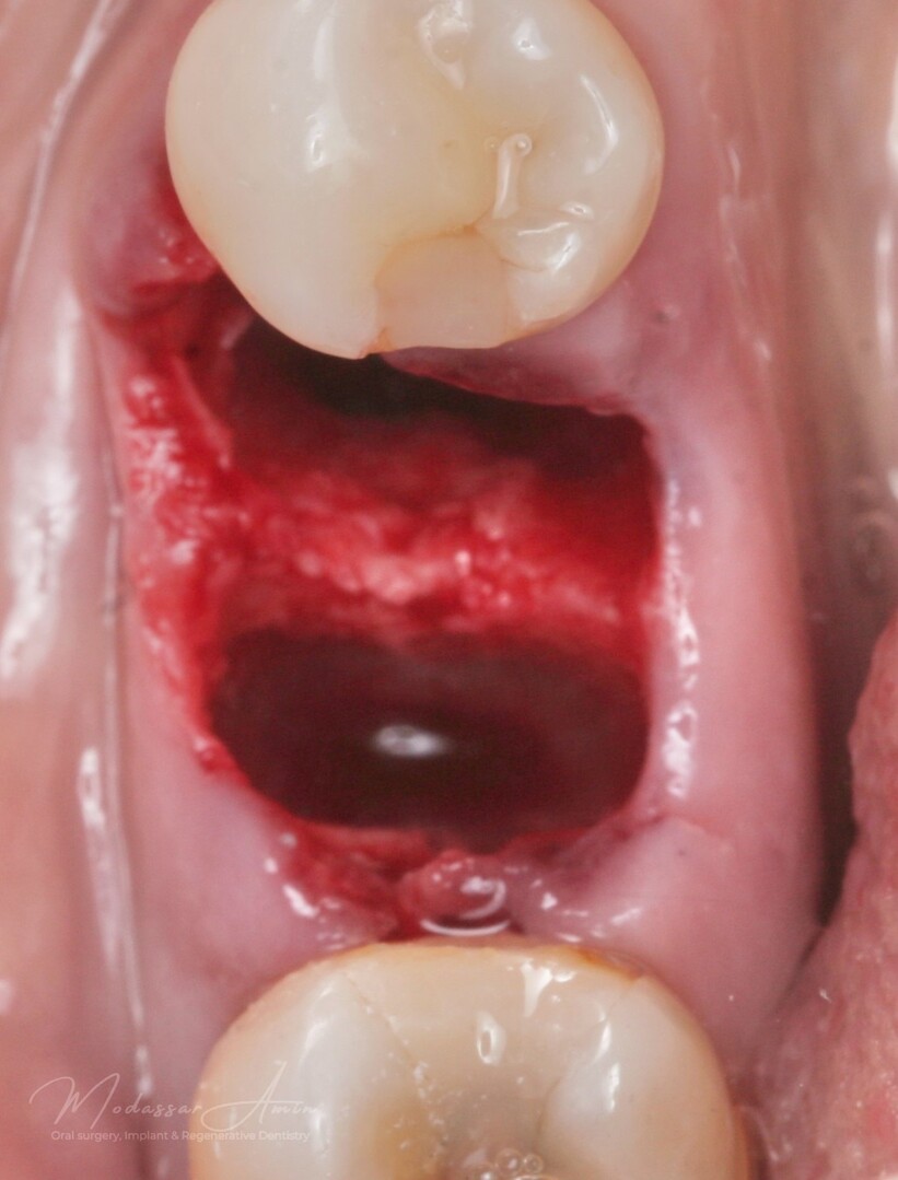
Minimalinvasiv extraktion

Påbörjad expansion

Versah borr 2.3

Expanderat septum

God primär stabilitet på 40+ ncm

SSA (Sealing Socket Abutment) + CTG (bindvävstransplantat)
Pocket-X – en subgingival premiumbehandling som förbättrar läkningen efter rengöring av parodontala tandköttsfickor.
Stå redo för införandet av tiotandvården 2026!
Vill du hitta ett nytt väldokumenterat premiumimplantat för dina patienter över 67 år? Biomet Certain T3 från ZimVie är ett enkelt, flexibelt och väldokumenterat premiumsystem för implantatbehandlingar:
Med ett riktigt bra pris | Valmöjlighet med kodade läkdistanser för intraoral scanning | Personlig service


